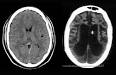
I do believe that it was justified to disconnect Terri. Although it goes against my moral beliefs, she had no way of being able to live. Even if Terri could ever wake up, her life wouldn't be very worth living. Her brain damage was extremely extensive as you can see in the picture above. Terri was already depressed about something before she suffered from the heart attack. The fact that she was bulimic shows that she wasn't happy with herself. Bulimia is an extreme measure, and I'm sure that just weight issues were the only contributing factor to her bulimia. Terri was already close to being dead. I believe that disconnecting Terri was justified, but not the way that she was disconnected. Removing her feeding tube is like cutting off someone's food supply.
Search This Blog
Tuesday, January 17, 2012
Terri Schiavo
In the latest unit of my Gifted and Talented Class we have been discussing the case of Terri Schiavo. Terri was 26 when she collapsed at home from a heart attack. The heart attack left her with extensive brain damage. Many people believe that this heart attack was an effect from Terri being bulimic. 3 years after her heart attack, Terri's family, the Schindlers, request that Mr. Schiavo was to be removed as Terri's guardian. This request is denied. In May of 1998, 5 years later, Michael Schiavo (Mr. Schiavo) files a petition to remove Terri's feeding tube. After many years, arguments, debates, appeals in court, and petitions, in October 2003 Mrs. Schiavo's feeding tube is removed. A few days later a law passed giving Jeb Bush the authority to keep Terri's feeding tube in her. The next day, the tube is reinserted. This law is eventually struck down, and there are more court cases throughout the years. The case is even brought up to the House of Representatives and the Senate, but the Supreme Court refused to become involved. On March 18th, 2005 Terri Schiavo's feeding tube was removed permanently. During the next 13 days appeals were made to replace the tube but they all failed. On March 31, 2005 Terri Schiavo was pronounced dead 13 days after the removal of her feeding tube. After her death there was an autopsy performed to see her brain damage.
I do believe that it was justified to disconnect Terri. Although it goes against my moral beliefs, she had no way of being able to live. Even if Terri could ever wake up, her life wouldn't be very worth living. Her brain damage was extremely extensive as you can see in the picture above. Terri was already depressed about something before she suffered from the heart attack. The fact that she was bulimic shows that she wasn't happy with herself. Bulimia is an extreme measure, and I'm sure that just weight issues were the only contributing factor to her bulimia. Terri was already close to being dead. I believe that disconnecting Terri was justified, but not the way that she was disconnected. Removing her feeding tube is like cutting off someone's food supply.
I do believe that it was justified to disconnect Terri. Although it goes against my moral beliefs, she had no way of being able to live. Even if Terri could ever wake up, her life wouldn't be very worth living. Her brain damage was extremely extensive as you can see in the picture above. Terri was already depressed about something before she suffered from the heart attack. The fact that she was bulimic shows that she wasn't happy with herself. Bulimia is an extreme measure, and I'm sure that just weight issues were the only contributing factor to her bulimia. Terri was already close to being dead. I believe that disconnecting Terri was justified, but not the way that she was disconnected. Removing her feeding tube is like cutting off someone's food supply.
Subscribe to:
Post Comments (Atom)
Emily, well done, but the image of the brain scan is not visible. Can you try to post it again?
ReplyDeleteI think I fixed it, but the picture came out really fuzzy, I don't know why.
ReplyDelete